Projet DAISI MILVUE

DAISI PROJECT : Increased diagnosis of non-symptomatic intracranial aneurysms in MRI

The “Digital Health” call for expressions of interest (AMI) has two objectives:

  • To feed the construction of the strategy by proposing both projects ready to be financed and more prospective projects likely to be supported in future calls for projects;
  • Identify the concerned actors and collect their project proposals on the French territory.

This call for expressions of interest, operated on behalf of the State by Bpifrance, has made it possible to identify priority projects that will be rapidly financed, but also to foreshadow future calls for projects. For example, the projects that responded to the call for expressions of interest were able to be directed towards the calls for projects launched in 2021 and 2022 that were most relevant to them.

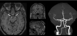
The DAISI project focuses on the development of an artificial intelligence solution integrated into the workflow to assist in the detection, orientation and follow-up of unruptured intracranial aneurysms on MRI. Intracranial aneurysm is a not rare arterial pathology (3%), asymptomatic except for complications, and difficult to diagnose on cerebral MRI performed for another indication.

Through the development of innovative Deep Learning algorithms, DAISI will standardize, accelerate and secure vascular analysis in MRI and thus the early identification of patients with aneurysms. A real public health issue, the target is to reduce by 90% the rate of under-diagnosis of the pathology, which means an impact on several thousand patients per year in France.

Intracranial Aneurysm

How does the funding from the “Digital Health” Acceleration Strategy allow you to accelerate the implementation of your project?

DAISI ‘s ambition is twofold. Beyond the medical purpose, the technological bricks developed with a set of reference sites in neuroradiology will constitute new markers for the state of the art of the application of AI in 3D medical imaging.

‍In a strong competitive context, the financing obtained allows Milvue to accelerate this technological development, as close as possible to healthcare professionals, and to facilitate its adoption in clinical practice.

‍For more information: FRANCE 2030: 55 million euros to support digital health projects | G_NIUS (esante.gouv.fr)

 

>  See other Milvue news.